Каждый орган в теле человека имеет определенный размер. Если он увеличивается или уменьшается, это патология. Она связана с физиологическими изменениями или заболеванием. Умеренная спленомегалия — патологическое состояние органа с небольшим его увеличением.
Если она обнаружена на УЗИ, консультируются с гастроэнтерологом, гепатологом, хирургом. Они проведут дополнительные диагностические тесты, выявят причину, и назначат лечение.
Что такое умеренная спленомегалия?
Умеренная спленомегалия – увеличение органа в размерах. Признак свидетельствует о протекании заболевания в других органах. Увеличенная селезенка – не заболевание, а его симптом.

У здорового человека размер органа не превышает 12 см, масса – не более 150 г.
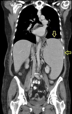
Для обследования органов брюшной полости врач применяет прощупывание (пальпацию), перкуссию. При использовании метода здоровая селезенка выявляться не должна. Для уточнения размеров селезенки используют УЗИ брюшной полости, МРТ или КТ.
Умеренная спленомегалия, увеличение селезенки, может быть вызвана различными факторами как у детей, так и у взрослых. Врачи отмечают, что одной из основных причин является инфекция, включая вирусные и бактериальные заболевания, такие как мононуклеоз или гепатит. Также спленомегалия может развиваться на фоне заболеваний крови, таких как анемия или лейкемия.
Признаки этого состояния могут варьироваться, но часто включают дискомфорт в области живота, чувство тяжести и увеличение объема живота. Врачи подчеркивают, что важно обращать внимание на сопутствующие симптомы, такие как усталость, потеря аппетита или лихорадка, которые могут указывать на более серьезные заболевания. Регулярные медицинские осмотры и своевременная диагностика играют ключевую роль в выявлении причин спленомегалии и предотвращении осложнений.
Размеры селезенки при умеренной спленомегалии
Если при пальпации обнаружено увеличение селезенки, врач назначает УЗИ. Метод выявляет точное расположение, вес, длину, ширину органа. Спленомегалия бывает:
- умеренная, которая проявляется временно;
- ярко выраженная, наблюдается у лиц с различными заболеваниями.
Врач выявляет разновидность состояния, чтобы определить причину и назначить лечение. Спленомегалия бывает разных размеров у взрослых и детей. Для каждого возраста врачи определяют нормальные размеры селезенки.
При прощупывании точные размеры определить нельзя, параметры оценивается при проведении УЗИ. На экране высвечивается изображение селезенки, врач высчитывает длину, ширину, массу.
У взрослых
Умеренная спленомегалия включает в себя параметры для взрослого человека:
- длина от 13 до 20 см;
- вес от 350 до 500 г.
Если параметры измерения превышают эти цифры, врач пишет в истории болезни о выраженной форме спленомегалии. В этом случае селезенка увеличена настолько, что будет выделяться из под ребер (видна невооруженным взглядом). При умеренном увеличении органа немного прощупывается под левыми ребрами, превышение параметров – временное явление.
Умеренная спленомегалия, или увеличение селезёнки, может быть вызвана различными факторами, и мнения людей о её причинах и признаках часто различаются. Многие отмечают, что это состояние может быть связано с инфекциями, такими как мононуклеоз или вирусные гепатиты. Другие упоминают о роли хронических заболеваний, таких как цирроз печени или лимфомы. Признаки спленомегалии могут варьироваться: некоторые пациенты ощущают дискомфорт в левом подреберье, другие могут не замечать никаких симптомов. Важно отметить, что увеличение селезёнки может быть обнаружено случайно при ультразвуковом исследовании. Люди также подчеркивают важность своевременной диагностики и обращения к врачу, поскольку игнорирование симптомов может привести к осложнениям. В целом, осведомлённость о причинах и признаках спленомегалии помогает в её раннем выявлении и лечении.
У детей
Спленомегалия у ребенка чаще всего является физиологической. Поэтому диагноз умеренная спленомегалия может быть поставлен ошибочно. Такое состояние наблюдается у школьников, но это не свидетельствует о заболевании.
Если спленомегалию вызвало заболевание, то у детей это чаще всего глистные и паразитарные инвазии, так как дети много времени проводят в песке, не всегда моют руки.
Причины патологии
Существует множество причин развития спленомегалии. Врач должен их выявить, чтобы предупредить риск рецидива состояния. Для каждой возрастной группы характерны свои причины появления симптома. Врач должен помнить, что умеренное увеличение органа не относится к заболеванию. Это признак основной болезни, после лечения которой спленомегалия исчезнет.
Основные причины умеренной спленомегалии:
- проникновение инфекционного агента;
- воздействие иммунной системы против собственных тканей организма;
- заболевания, в результате которых уменьшается количество кроветворных клеток;
- нарушение обмена веществ;
- образование абсцессов в органе;
- инфаркт, доброкачественные и злокачественные опухоли селезенки.
Эти причины заболевания характерны для всех возрастов. Но существуют факторы, которые могут быть отдельно у детей и взрослых.
Взрослые
Существуют причины умеренной спленомегалии, которые наиболее часто встречаются у взрослых.
- Образование злокачественных и доброкачественных опухолей.
Если причина в доброкачественном новообразовании, его удаляют. При злокачественной природе проводят хирургическое вмешательство, а затем химиотерапию. - Аутоиммунные болезни.
Защитная система направлена против собственных тканей (селезенки). - Инфекции.
Возбудителем может быть сальмонелла, туберкулез, бруцеллез, сифилис. Патогенные микроорганизмы накапливаются в селезенке и других тканях и органах. - Грибковая инфекция характерна для лиц с иммунодефицитом.
Грибок сосредоточен в желудочно-кишечном тракте и селезенке. Состояние осложняется диспепсическими расстройствами (рвота, тошнота, диарея) и высокой температурой тела. - Застой в венах.
Образуется при сгущении крови из-за повышенного количества форменных элементов или надавливании на сосуд опухолью. - Повышенное разрушение форменных элементов крови, которые скапливаются в селезенке.
К ним относятся клетки иммунной системы, тромбоциты, эритроциты. - Увеличение количества форменных элементов при раке крови.
- Образование в органе веществ, которое в норме ему не свойственно.
Это могут быть белки, жиры, химические вещества, кисты с межтканевым экссудатом. - Сильное воспаление печени (гепатит).

Состояния опасны для человека. Лечение снизит риск осложнений.
Дети
Существуют заболевания, которые наиболее характерны для детей при спленомегалии.
- Инфекции.
Ими они могут заразиться от других людей или от матери. Второй путь возможен при внутриутробном развитии или в процессе прохождения по родовым путям. - Вирусы.
Так как иммунная система детского организма развита недостаточно, она не может противостоять различным вирусам. Чаще всего умеренную спленомегалию вызывает корь, краснуха, мононуклеоз. - Простейшие.
Они возникают из-за недостаточного развития иммунной системы. Возбудителем является лейшманиоз, токсоплазмоз, лямблии. При проникновении первого патогена страдает печень, кожа. Токсоплазмоз возможно получить от матери во время эмбриогенеза или при прохождении по родовым путям. Он возникает после контакта с зараженными животными. - Паразиты.
К ним относится эхинококкоз, шистосомоз , гистоплазмоз. Чаще всего они проявляются у детей, так как они забывают мыть руки, много времени могут проводить в игре с землей или песком.
При попадании возбудителя в детский организм болезнь проходит тяжелее. Это связано с тем, что температура тела поднимается выше, чем у взрослых. Защитные системы у них развиты недостаточно.
Признаки умеренной спленомегалии
При умеренном состоянии увеличение органа часто может протекать без клинической симптоматики. При достижении больших размеров селезенки появляются следующие симптомы:
- ощущение дискомфорта в области левых ребер;
- тяжесть в животе;
- потеря аппетита;
- снижение массы тела;
- недомогание (слабость, усталость, вялость, сонливость);
- тошнота.
Если причина состояния в инфекции, глистной и паразитарной инвазии, дополнительно появляется следующая клиническая симптоматика:
- боль в животе;
- диспепсические явления (рвота, диарея);
- резкое снижение массы тела вплоть до истощения;
- повышение температуры тела.
По признакам врач предполагает заболевание и назначает дополнительные диагностические тесты.
Диагностика
Диагностика умеренно увеличенной селезенки пациента проходит в несколько этапов.
- Сбор анамнеза.
Это данные, полученные со слов пациента или его близких родственников. - Осмотр.
Определение качества кожи и слизистых оболочек. Пальпация (прощупывание) и перкуссия (простукивание) брюшной полости. - Лабораторные исследования.
Проводится общий анализ крови и мочи, биохимия крови. Выявляется лейкоцитоз и повышенное СОЭ, что свидетельствует о воспалительном очаге. Печеночные ферменты АЛТ, АСТ повышаются при дополнительной гепатомегалии (увеличение печени), которая сочетается со спленомегалии. - УЗИ.
Исследование, показывающее параметры селезенки, однородностью структуры. - МРТ, КТ.
Рассматривают строение органа, нервные ткани и сосудов. - Биопсия с гистологией.
Извлечение ткани для определения клеточного состава. Анализ выявит злокачественные новообразования.
Только после полной диагностики пациента врач поставит достоверный диагноз.
Лечение умеренной спленомегалии
Чтобы врач назначил лечение, выявляют причину заболевания. Терапия направлена не на лечение селезенки, а на болезнь, которая вызвала умеренное увеличение. Применяют следующие методы лечения:
- противовирусные, антибактериальные, противогрибковые препараты;
- противопаразитарные, противоглистные средства;
- химиотерапия для лечения рака;
- хирургические методы для удаления доброкачественной или злокачественной опухоли;
- глюкокортикостероиды;
- препараты, разжижающие кровь;
- препараты для укрепления сосудистой стенки.

Если причиной умеренного увеличения стали метаболические нарушения, дополнительно врачи рекомендуют придерживаться диеты. Например, если причина в амилоидозе, врач советует снизить употребление белка.
Прогноз
Чем раньше пациент обратится к врачу для консультации, тем лучше будет итог для здоровья. При проведении лечения прогноз благоприятен. Если человек затянул с походом к врачу или игнорирует методы терапии, врач посоветует хирургически удалить селезенку. При отсутствии лечения серьезных заболеваний, таких как злокачественные новообразования, метаболические нарушения, человек может погибнуть.
Умеренная спленомегалия – состояние, которое относится не к заболеванию, а симптому патологии другого органа. Рекомендуется своевременно проводить диагностику и лечение.
Вопрос-ответ
Каковы причины спленомегалии у ребенка?
Спленомегалия у ребенка может быть вызвана различными причинами, включая инфекционные заболевания (например, мононуклеоз, вирусные гепатиты), гематоонкологические заболевания (лейкемия, лимфома), заболевания печени (цирроз, гепатит), а также метаболические расстройства (например, болезнь Гоше). Кроме того, аутоиммунные заболевания и некоторые наследственные синдромы также могут приводить к увеличению селезенки.
Каковы признаки умеренной спленомегалии?
Бледность кожного покрова, склонность к кровотечениям и легкому возникновению синяков (если к спленомегалии присоединяется гиперспленизм), ухудшение аппетита, общая слабость.
Каковы причины спленомегалии у взрослых?
Спленомегалия у взрослых может быть вызвана различными причинами, включая инфекционные заболевания (например, мононуклеоз, туберкулез), заболевания печени (цирроз, гепатит), гематоонкологические заболевания (лейкемия, лимфома), аутоиммунные расстройства (например, системная красная волчанка), а также застойные процессы, связанные с сердечной недостаточностью. Кроме того, спленомегалия может возникать из-за травм или опухолей селезенки.
Почему у ребенка может быть увеличена печень и селезенка?
Часто это связано с врожденным недоразвитием желчных протоков. Еще одним распространенным проявлением поражения печени у детей раннего возраста является синдром гепатита, при котором печень и селезенка увеличиваются в ответ на инфекцию, перенесенную внутриутробно.
Советы
СОВЕТ №1
Регулярно проходите медицинские обследования. Умеренная спленомегалия может быть связана с различными заболеваниями, поэтому важно своевременно выявлять и лечить возможные проблемы со здоровьем.
СОВЕТ №2
Обратите внимание на симптомы. Если вы или ваш ребенок замечаете такие признаки, как боль в левом подреберье, усталость, частые инфекции или изменения в аппетите, не откладывайте визит к врачу.
СОВЕТ №3
Следите за образом жизни. Правильное питание, регулярные физические нагрузки и отказ от вредных привычек могут помочь поддерживать здоровье селезенки и всего организма в целом.
СОВЕТ №4
Обсуждайте с врачом возможные риски. Если у вас в семье есть случаи заболеваний, связанных со спленомегалией, обсудите это с врачом для получения рекомендаций по профилактике и наблюдению.

