Стеатоз печени – это гепатоз, являющийся лидером среди заболеваний во всём мире. Сейчас он имеет высокую распространённость. Один из пяти человек на Земле страдает данным заболеванием, по данным ВОЗ.
Что такое стеатоз печени?
Стеатоз — это вид гепатоза, основным проявлением, которого является жировая дистрофия гепатоцитов. Может быть самостоятельным заболеванием или синдромом другой патологии. Для стеатоза характерно накопление гепатоцитами жировых капель.
При накоплении жира клетки могут разрываться. Липиды заполняют пространства между клетками, образуются кисты в паренхиме. С течением времени кисты прорастают соединительной тканью. Нарастает тяжелая печеночная недостаточность, с дальнейшим летальным исходом.
Стеатоз печени, или жировая дистрофия, представляет собой накопление жира в клетках печени. Врачи отмечают, что это состояние может быть вызвано различными факторами, включая избыточное потребление алкоголя, ожирение, диабет и неправильное питание. Важно понимать, что стеатоз может прогрессировать и привести к более серьезным заболеваниям, таким как стеатогепатит и цирроз.
Лечение этого состояния, по мнению специалистов, должно быть комплексным. В первую очередь, необходимо изменить образ жизни: сбалансированное питание, регулярные физические нагрузки и отказ от алкоголя. В некоторых случаях врачи рекомендуют медикаментозную терапию для снижения уровня жира в печени и улучшения метаболизма. Регулярные обследования и контроль состояния печени также играют ключевую роль в успешном лечении. Важно, чтобы пациенты следовали рекомендациям врачей и не игнорировали симптомы, чтобы избежать серьезных последствий для здоровья.

Кто чаще всего болеет этим заболеванием?
- Женщины старше 45 лет, страдающие лишним весом.
- Мужчины старше 45 лет, злоупотребляющие алкоголем.
Факторы риска
- ожирение;
- возраст старше 45 лет;
- злоупотребление алкоголем;
- сахарный диабет второго типа;
- генетическая предрасположенность;
- женский пол.
Стеатоз печени, или жировая дистрофия, вызывает множество обсуждений среди людей, сталкивающихся с этой проблемой. Многие отмечают, что это заболевание часто связано с неправильным питанием и малоподвижным образом жизни. Люди делятся своими историями о том, как им удалось справиться с этим недугом, акцентируя внимание на важности изменения рациона. Употребление овощей, фруктов, нежирного мяса и отказ от алкоголя становятся ключевыми моментами в лечении. Некоторые также упоминают о пользе физических упражнений, которые помогают не только сбросить лишний вес, но и улучшить общее состояние печени. Важно, что многие находят поддержку в группах, где обсуждаются методы лечения и профилактики, что помогает не только в борьбе с болезнью, но и в повышении осведомленности о здоровье.

Причины развития стеатоза
- Злоупотребление алкоголем.
- Нарушение углеводного обмена.
- Нарушение жирового обмена.
- Генетическая предрасположенность.
- Сахарный диабет.
- Заболевания щитовидной железы.
- Патологии желудочно-кишечного тракта (ЖКТ).
- Ожирение.
- Беременность.
- Перенесённые хирургические операции на органах ЖКТ.
- Синдром Иценко-Кушинга.
- Действие токсических веществ (четырёххлористый углерод, инсектициды, фосфорорганические соединения).
- Токсическое воздействие тяжелых металлов.
- Предшествующие травмы печени.
- Воздействие лекарственных препаратов при длительном приёме (антибиотики тетрациклинового ряда, противотуберкулёзные препараты, кортикостероиды, цитостатики и др.).
- Синдром нарушенного всасывания.
- Дефицит фермента, расщепляющего жиры (лизосомная кислая липаза).
- Гепатиты.
- Жесткая диета.
- Строгое вегетарианство.
Симптомы стеатоза печени
Стеатоз заболевание обычно хроническое. Симптомы нарастают очень медленно. При 1 степени они отсутствуют, но если обнаруживаются, то чаще случайно, при обследовании по другому поводу.
Симптомы, которые могут быть при стеатозе 2 степени:
- повышенная утомляемость;
- снижение аппетита
- тошнота;
- тяжесть в подреберье справа;
- общая слабость;
- простуды из-за снижения иммунитета.
Признаки заболевания на поздних стадиях развития:
- интенсивные боли в подреберье справа;
- чувство сдавливания в подреберье справа;
- зуд;
- желтушность;
- горечь во рту;
- тошнота;
- рвота с желчью;
- сыпь на коже;
- диарея;
- желтушность склер;
- нарушение сна;
- проявления нарушений обмена липидов на коже и слизистых (ксантомы, ксантеллазмы, липоидная дуга роговицы);
- ухудшение внимания.
Виды заболевания
По отношению к злоупотреблению алкоголем:
- алкогольный;
- неалкогольный.
Алкогольным считается тот стеатоз, который развивается у больного при злоупотреблении алкоголем.
Неалкогольный стеатоз печени – это липидная трансформация. Она возникает при сопутствующих заболеваниях, дефектах питания, неправильном образе жизни.
По структуре поражения печени выделяют диффузный и очаговый стеатоз:
- Диффузный стеатоз – в этот процесс вовлечены все клетки печени.
- Очаговый стеатоз — жир находится в гепатоцитах на отдельных участках органа.
В свою очередь очаговая форма заболевания подразделяется на:
- Очаговый диссеминированный – небольшое количество гепатоцитов в различных участках печени накапливают липиды. Симптомов поражения нет.
- Выраженный диссеминированный – большое скопление жировых капель во многих отделах органа. Симптомы поражения появляются.
- Зональный – липиды откладываются в гепатоцитах в определённой зоне (дольке).
Выделяют ещё одну форму поражения – фокальный стеатоз. Для него характерно наличие доброкачественных опухолей различной локализации в тканях органа. Его находят случайно при обследованиях. Клинические проявления отсутствуют.
По этиологическим причинам стеатоз печени делят на:
- Первичный – врождённое нарушение метаболизма (обмена веществ).
- Вторичный – нарушение метаболизма, которое является следствием основного заболевания, неправильного питания и образа жизни.
По патологическим изменениям на уровне печеночной клетки выделяют:
- Мелкокапельный стеатоз — происходит накопление мелких капель жира в клетках. Повреждения печеночных клеток нет.
- Крупнокапельный стеатоз – в гепатоцитах происходит накопление крупных капель жира. Происходит повреждение гепатоцитов. В последующем печеночная клетка гибнет.
Классификация заболевания по морфологии:
- 0 степень – небольшие скопления жира в некоторых печёночных клетках.
- Первая степень – появляются очаги клеток с липидными включениями. Они сливаются между собой, повреждая клетки (до 33% изменённых клеток в поле микроскопа).
- Вторая степень – скопления жировых включений распространены диффузно по всей ткани печени (от 33 до 66% от всех гепатоцитов в поле микроскопа).
- Третья степень – жир скапливается не только в пределах клетки, но и во внутриклеточном пространстве. Образуются кисты. Гепатоциты разрушаются и гибнут (до 66% от всех гепатоцитов в поле микроскопа).
Стадии заболевания
Выделяют три стадии:
- 1 стадия (минимальное ожирение) – происходит накопление липидов в гепатоцитах без повреждения самих клеток.
- 2 стадия (ожирение средней тяжести) – в гепатоцитах начинаются необратимые процессы гибели клеток. Липиды из них проникают в межклеточное пространство. Образуются кисты.
- 3 стадия (тяжелое ожирение) – возникает предциррозное состояние. Пораженные клетки печени начинают прорастать фибробластами (клетками соединительной ткани).
Диагностика
Неинструментальные методы обследования:
- Сбор жалоб.
- Сбор анамнеза болезни и жизни.
- Семейный анамнез.
- Анамнез питания больного.
- Осмотр больного.
- Определение индекса массы тела.
- Определение идеальной массы тела.
- Определение соотношения окружности бёдер к окружности талии.
Лабораторные методы обследования:
- Общий анализ крови (обнаруживается повышение СОЭ, снижение эритроцитов и гемоглобина).
- Биохимия крови (выявляется повышение трансаминаз, повышение уровня холестерина, повышение сахара крови, снижение альбумина).
Инструментальные методы исследования:
- УЗИ (определяют изменения структуры, выявляют кисты).
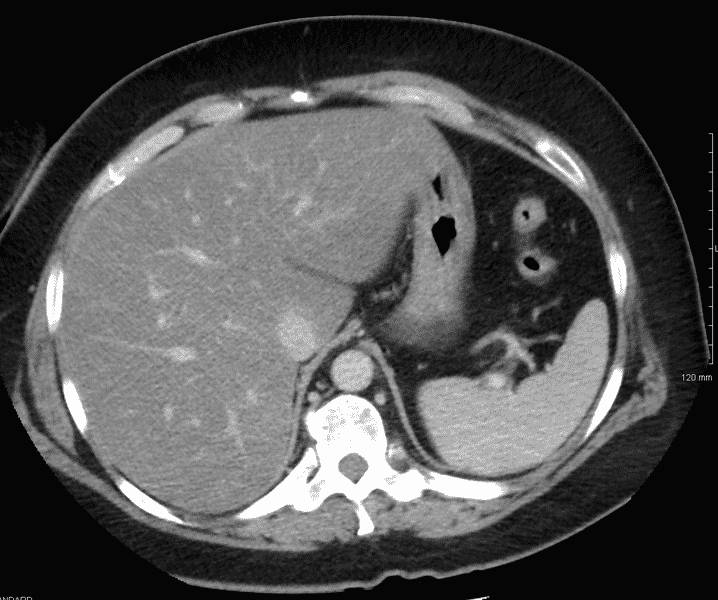
- КТ (определяют изменения структуры, определяют степень поражения).
- МРТ (оценка степени увеличения печени и изменений в ткани печени).
- Лапароскопия (позволяет осмотреть орган и взять ткань на биопсию).
- Биопсия тканей печени (определение степени фиброза, наличие цирроза).
- Изотопное сканирование (определяют функциональное состояние органа).
- Эластография (определяет степень фиброза органа).
Лечение стеатоза печени
Можно ли вылечить стеатоз печени? Когда поставлен диагноз стеатоз печени, то главное, нивелировать или убрать этиологический фактор. Алкогольный стеатоз печени требует отказ от приема алкогольных напитков.
- Необходимо снизить лишний вес, рационально питаться.
- Компенсировать основное заболевание, если оно привело к стеатозу.
- Необходимо исключить приём лекарственных препаратов, вызвавших заболевание.
- Исключить воздействие с токсичных веществ.
При стеатозе печени терапию назначать должен только специалист гастроэнтеролог или гепатолог.
Медикаментозное лечение стеатоза печени
Специфического лечения заболевания нет. Лечение направлено на уменьшение действия этиологического агента, который вызвал болезнь. Цель терапии поддержание компенсированного состояния пациента. Терапия так же направлена на общее укрепление организма пациента.

Цели терапии стеатоза печени:
- Защитить клетки печени от действия факторов их разрушающих.
- Восстановить функции и структуру органа.
- Повысить чувствительность клеток организма к инсулину.
- Снизить уровень липидов.
- Снизит массу тела.
- Защитить клетки от процессов перекисного окисления.
- Повысить устойчивость гепатоцитов к кислородному голоданию.
При лечении применяют следующие группы лекарственных препаратов:
Гепатопротекторы.
- Фосфолипиды (Фосфоглиф, Эссенциале Форте, Антралиф и др.).
- Препараты растительного происхождения (Легалон,Карсил, Аллохол и др.).
- Препараты, содержащие урсодезоксихолевую кислоту (Урдокса, Урсосан и др.).
- Препараты, содержащие аминокислоты (Гепа-мерц, Гептор и др.)
Гипогликемические препараты.
- Статины (Розувастатин, Симвастатин и др.).
- Фибраты (Клофибрат и др.).
Препараты снижающие массу тела.
Антиоксиданты (Витамин А, Витамин Е, Мексидол и др.).
Антигипоксанты ( Актовегин, Карнитин и др.).
Лечение стеатоза печени народными средствами
Как лечить стеатоз печени народными средствами? При лечении народными средствами применяют:
- отруби запаренные кипятком;
- отвар кукурузных рылец;
- отвар корней одуванчика;
- отвар листьев календулы;
- отвар подорожника;
- отвар девясила;
- отвар чистотела;
- отвар шрота;
- масло расторопши.
Отвары трав при лечении применяют длительно. Курс лечения не меньше года.
Диета при стеатозе печени
Основная цель диеты удалить липиды, которые отложились в гепатоцитах.
Принципы диеты следующие:
- Нормализация функции органа.
- Нормализация обмена холестерина.
- Стимуляция выработки желчных кислот.
- Нормализация липидного обмена.
- Создание депо гликогена.
- Регенерация гепатоцитов.
Диета при стеатозе исключает приём таких продуктов:
- Жареные, жирные блюда.
- Острые специи.
- Жирная рыба.
- Утка, гусь.
- Щавель, шпинат.
- Жирное мясо.
- Грибы.
- Колбасные изделия.
- Газировка, лимонад.
- Жирные бульоны.
- Маринады и копчёности.
- Орехи.
- Соления и консервы.
- Какао, кофе.
- Алкоголь.
- Кондитерские изделия.
- Шоколад.
- Снеки и чипсы.
Осложнения заболевания
- Стеатогепатит – из-за жировой инфильтрации начинается воспаление тканей печени. Болезнь протекает более тяжело. Если нет лечения в гепатоцитах процессы апоптоза и некроза.
- Фиброз – печень постепенно теряет свою структуру. Вместо паренхимы печени, разрастается соединительная ткань. Орган теряет частично свою функцию
- Цирроз – происходит некроз практически всех гепатоцитов. Фильтрационные функции печени прекращают выполняться. Это состояние имеет необратимый характер.
Прогноз
В начальных этапах своего развития у болезни благоприятный характер течения. Поздние стадии заболевания лечению поддаются плохо, если процессы деградации гепатоцитов уже необратимы.
При лечении начальных форм стеатоза уже через несколько месяцев может быть положительный эффект, при соблюдении больных рекомендаций врача по диете и лечению.
Важен полный отказ от алкоголя при алкогольном стеатозе. При неалкогольном гепатозе больной должен снизить вес и соблюдать диету.
Сопутствующие заболевания должны быть компенсированы. Нивелированы все остальные патологические факторы. Если условия эти не будут соблюдены, то развиваются осложнения. Исход осложнений неблагоприятен. Летальный исход при осложнениях этой болезни может быть из-за того, что возникает печеночная недостаточность и синдром портальной гипертензии с кровотечениями из варикозно расширенных вен.
Вопрос-ответ
Какой препарат убирает жир с печени?
Эффективные фосфолипиды – Резалют Про, Эссенциале, Эссенциале Форте, Фосфонциале, Фосфоглив, Антраль, Бренциале Форте, Эслидин, Эссливер, Липоид С-100 и ППЛ-400, Лексум Форте, Эсслиал Форте, Ливенциале, Карсил, Гептрал, Силимар и др.
Какие продукты убирают жир с печени?
Морепродукты, нежирная молочная продукция, молочные супы, творог, натуральные йогурты, кефир, небольшое количество сухофруктов и сушеных ягод, яйца или только яичный белок, в зависимости от тяжести заболевания – одно в день или омлет на пару.
Какие лекарства принимать при стеатозе печени?
Для лечения предлагаются следующие лекарственные средства: метформин, тиазолидиндионы, статины, фибраты, пентоксифиллин, эссенциальные фосфолипиды (ЭФЛ), УДХК, витамин Е, адеметионин, Силимарин, бетаин, N-ацетилцистеин, глицирризиновая кислота, препараты альфа-липоевой кислоты, пре- и пробиотики.
Можно ли полностью вылечить стеатоз печени?
Как и любое заболевание печени, при котором идет ее разрушение с возможным исходом в цирроз, лечение стеатоза возможно только медикаментозное, действующее на причину болезни. В случае стеатоза причиной заболевания являются обменные и гормональные нарушения, которые и вызывают изменение структуры печеночной ткани.
Советы
СОВЕТ №1
Регулярно проходите медицинские обследования, чтобы контролировать состояние печени. Раннее выявление стеатоза может помочь предотвратить его прогрессирование и развитие более серьезных заболеваний.
СОВЕТ №2
Соблюдайте сбалансированную диету, богатую овощами, фруктами, цельными злаками и нежирными белками. Ограничьте потребление сахара, насыщенных жиров и алкоголя, чтобы снизить нагрузку на печень.
СОВЕТ №3
Регулярно занимайтесь физической активностью. Упражнения помогают контролировать вес и улучшают обмен веществ, что может способствовать улучшению состояния печени и уменьшению жировых отложений.
СОВЕТ №4
Обратитесь к врачу для разработки индивидуального плана лечения, если у вас диагностирован стеатоз печени. Это может включать медикаментозную терапию, изменения в образе жизни и регулярный мониторинг состояния здоровья.



